Acne, medically referred to as acne vulgaris, is a common skin concern that occurs when hair follicles become blocked with oil and dead skin cells, causing the formation of breakouts. Although acne is often associated with hormonal changes during adolescence, people of all ages can suffer with the condition. Acne can result in a great amount of emotional distress and self-consciousness, prompting patients to seek effective treatment.
Laser acne scar treatments describe the use of laser energy to reduce the appearance of acne whilst treating the sebaceous glands that cause the oil build-up. Acne laser treatment can be used to manage active, ongoing acne and to minimise the appearance of acne scarring.
Read Our Patient Reviews
About Laser Acne Treatment in London
At the CREO Clinic, we work with the latest technology to provide the best possible results for our patients struggling with acne breakouts. Our specialists use the Fotona TwinLight laser which harnesses the power of two complementary wavelengths, Er:YAG and Nd:YAG, to safely and effectively treat acne prone skin.
Contact the CREO Clinic today to book a consultation with our laser specialists in London to see how TwinLight can help to refine your complexion and treat your acne breakouts.
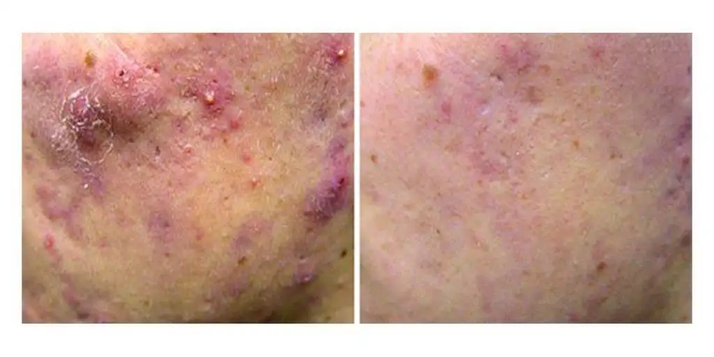
Before & After
Benefits of Laser Acne Treatment
The Fotona TwinLight treatment at CREO has many unique benefits:
- It is a safe and effective means of treating both active acne and acne scarring
- Medication and associated side effects are avoided
- Fotona technology allows for controlled, accurate and precise delivery of laser energy, avoiding damage to surrounding tissues
- TwinLight is a fast and gentle treatment with minimal downtime
- Laser acne treatment resurfaces the skin and stimulates the bodyโs natural collagen production to produce a healthier, rejuvenated and smoother appearance
How Much Does Laser Acne Treatment Cost?
The price of TwinLight can vary depending on the size of the area treated and the number of sessions booked.
To spread the cost of your treatment, we offer financing with PLIM financing. Speak to our patient coordinator for more information.
| Area | 1 Session | 3 Sessions |
| Half Face | ยฃ325 | ยฃ875 |
| Full Face | ยฃ425 | ยฃ1,095 |
| Small Area | ยฃ145 |
Am I A Suitable Candidate for Laser Acne Treatment?
The ideal candidate for laser acne or acne scarring treatment should have aesthetic concerns about their acne and should meet the following criteria:
- Be over the age of 18
- Be in good health
- Have mild to moderate acne
- Have realistic expectations about the results TwinLight laser acne treatment can achieve
What to Expect
Consultation
During your initial consultation, our specialists will perform a comprehensive assessment of your skin and ask you about your main concerns regarding your acne. You will also be asked about your general health and medical history, to ensure your suitability for laser treatment.
The specialist will explain how the laser works, and the results you can expect to achieve with laser acne treatment to ensure that your expectations are realistic.
If you are deemed suitable for laser acne treatment, a patch test will be carried out to ensure your skin is able to tolerate the laser. Following this, a bespoke treatment plan will be designed for your individual needs.
The Procedure
Fotonaโs TwinLight treatment involves the use of two complementary laser wavelengths to achieve optimal results – the Er:YAG and Nd:YAG. Treatment should not be painful for patients, though a warming or pinching sensation may be felt as the laser treats the skin and underlying tissues.
Although laser acne treatment can vary patient to patient depending on an individual’s needs, the TwinLight protocol utilises two complementary wavelengths:
- ND:YAG – Active acne is managed using the high power Nd:YAG laser, penetrating the skin deep enough to heat and carefully destroy large sebaceous glands that are often responsible for acne breakouts.
- Er:YAG – The ablative Er:YAG laser is then used to remove surface level imperfections and treat acne scar tissue, gently vaporising the surface so that the undamaged skin below is revealed.
In addition, the Er:YAG and Nd:YAG lasers work together to stimulate the bodyโs natural collagen production and remodelling in the dermis, producing clearer, refined skin in the months following treatment.
Aftercare & Results
After your TwinLight treatment, you will be given comprehensive aftercare advice our specialists. You may feel able to resume daily activities immediately. However, each patient is different, and more intense treatment sessions may require appropriate downtime.
As you recover, you may experience side effects such as swelling, redness, scabbing and peeling. Be sure to avoid picking at the skin during this time, as this can negatively impact your final results and cause damage to the tissues. You should also ensure that you remain out of the sun during this time, and regularly apply SPF 50+ regularly for the first two weeks after treatment to ensure proper healing.
Many patients are able to notice an immediate improvement in the texture and appearance of the treatment area. However, you will need to wait for the new collagen to be produced before you will be able to appreciate the full effects of your TwinLight treatment, which can take up to 2-3 months.
The number of sessions needed to achieve your desired results will be determined during the consultation with our laser specialist. In general, patients get the most out of treatment and achieve optimal results when they undergo 2-3 sessions, spaced 4-6 weeks apart. Patients may then wish to โtop upโ their results annually, if required.
Potential Complications
Although the risk of complications is rare, all aesthetic treatments come with their own degree of risk. Potential complications for laser acne treatment include burns, hyperpigmentation, scarring and infection.
Why Choose CREO Clinic
The CREO Clinic is a specialist cosmetic clinic with a focus on expert-led treatment. We are home to the innovative Fotona SP Dynamis laser that can deliver TwinLight, amongst other transformatory treatments.
Our laser specialists are trained in the latest technological advances in laser treatments, and can work collaboratively with you to design a bespoke treatment plan and achieve your aesthetic goals.
Related Treatments
Laser Scar Removal
For patients who have acne scarring without active breakouts, laser scar removal can be an effective treatment for rejuvenating the skin and minimising the appearance of acne scars. The Fotona Er:YAG laser can treat different forms of acne scarring, including ice pick, boxcar and rolling scars.
Frequently Asked Questions
What commonly causes acne?
What causes acne scarring?
How do laser acne treatments work?
Can laser treatments remove acne scars?
Is laser acne treatment safe?
In addition, the innovative Fotona handpiece technology is able to safely and precisely deliver laser pulses to the treatment area.
Are acne laser treatments painful?
How long will a laser treatment take?
Can all types of acne be treated with laser?
Do laser acne treatments work on all skin types?
How long until I see results?
Will I need multiple treatments?
For the best possible results, it is generally recommended that you undergo three treatment sessions, spaced between 4-6 weeks apart. To maintain your results, you may also choose to undergo annual follow-up sessions.





